Eyelid Surgery
Give Your Eyes A Lift
At St. Paul Eye Clinic, our eye surgeons are highly experienced in surgically correcting a number of medically necessary eyelid conditions. During your consultation, we will perform a thorough evaluation to diagnose your condition and recommend a treatment plan. If you are a candidate for eyelid surgery, we will take the time to discuss the benefits and risks and create a care plan that’s right for you. Eyelid surgery procedures are performed at the Midwest Surgery Center located in Woodbury.
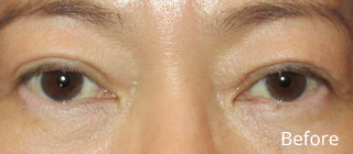
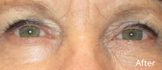
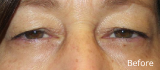
Upper Eyelid Blepharoplasty
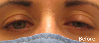
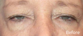
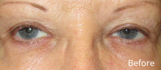
Upper Eyelid Blepharoplasty with Ptosis Repair
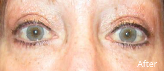
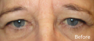
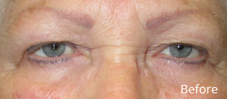
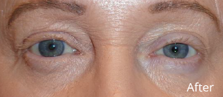
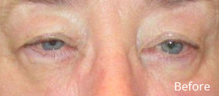
Upper and Lower Eyelid Blepharoplasty
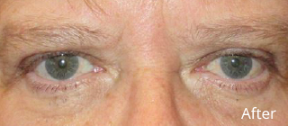
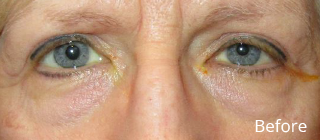
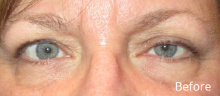
Ptosis Repair
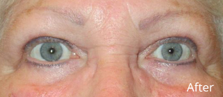
Blepharoplasty Plus Browplasty
Frequently Asked Questions
Give Your Eyes A Lift
At St. Paul Eye Clinic, our eye surgeons are highly experienced in surgically correcting a number of medically necessary eyelid conditions. During your consultation, we will perform a thorough evaluation to diagnose your condition and recommend a treatment plan. If you are a candidate for eyelid surgery, we will take the time to discuss the benefits and risks and create a care plan that’s right for you. Eyelid surgery procedures are performed at the Midwest Surgery Center located in Woodbury.
